Autores Varios - Ecocardiografía-Doppler

Здесь есть возможность читать онлайн «Autores Varios - Ecocardiografía-Doppler» — ознакомительный отрывок электронной книги совершенно бесплатно, а после прочтения отрывка купить полную версию. В некоторых случаях можно слушать аудио, скачать через торрент в формате fb2 и присутствует краткое содержание. Жанр: unrecognised, на испанском языке. Описание произведения, (предисловие) а так же отзывы посетителей доступны на портале библиотеки ЛибКат.

Ecocardiografía-Doppler: краткое содержание, описание и аннотация

Предлагаем к чтению аннотацию, описание, краткое содержание или предисловие (зависит от того, что написал сам автор книги «Ecocardiografía-Doppler»). Если вы не нашли необходимую информацию о книге — напишите в комментариях, мы постараемся отыскать её.

Coordinada por el profesor Francisco Javier Chorro Gascó, catedrático de Medicina de la Universitat de València, esta obra es fruto de la participación de un número amplio de autores que utilizan la técnica de la ecocardiografía-Doppler en el diagnóstico de la cardiopatías. En ella se abordan desde los fundamentos teóricos hasta los avances más recientes.

Ecocardiografía-Doppler — читать онлайн ознакомительный отрывок

Ниже представлен текст книги, разбитый по страницам. Система сохранения места последней прочитанной страницы, позволяет с удобством читать онлайн бесплатно книгу «Ecocardiografía-Doppler», без необходимости каждый раз заново искать на чём Вы остановились. Поставьте закладку, и сможете в любой момент перейти на страницу, на которой закончили чтение.

Тёмная тема
Сбросить

Интервал:

Закладка:

Сделать

4.4.3.2 Sección longitudinal

Permite visualizar el ventrículo izquierdo en el eje largo. La cara inferior se localiza en la parte más proximal del sector y la cara anterior en la parte inferior. El ápex, que casi nunca puede ser visualizado, se sitúa a la izquierda y la válvula mitral a la derecha. El objetivo principal de este plano debe ser la visualización de las cavidades izquierdas, principalmente del ventrículo izquierdo, y es útil para valorar el aparato subvalvular mitral (cuerdas tendinosas y músculos papilares). Las cuerdas del músculo papilar anterolateral se ven en la parte inferior de la pantalla y las del músculo posteromedial en la parte superior.

4.4.4 Estudio de la aorta

La aorta torácica cambia su relación con el esófago a lo largo de todo su recorrido. La porción ascendente se relaciona con la cara anterior del esófago, el cayado se sitúa a su izquierda y, desde esta posición, la aorta torácica descendente lo rodea dirigiéndose hacia atrás progresivamente, hasta hacerse posterior a nivel más inferior.

4.4.4.1 Sección transversal

a) Raíz aórtica y aorta ascendente. Se analiza por los planos previamente descritos. A partir del nivel de la arteria pulmonar no se visualiza el tercio superior de la aorta ascendente por la interposición de la tráquea.

b) Cayado aórtico. El cayado se sitúa delante del esófago. Habitualmente es posible registrar la porción transversa, pero la tráquea impide visualizar la zona de transición de la porción ascendente con el cayado aórtico. Desde este nivel, cuando se extrae la sonda, se puede visualizar la arteria carótida izquierda y con una rotación a la izquierda aparece la arteria subclavia izquierda proximal.

c) Aorta descendente. Se obtiene desde los cortes anteriores, tras girar la sonda 180°. Una vez localizada, se introduce el transductor hasta el estómago. A este nivel es fácil localizar el tronco celiaco saliendo de la aorta en la position de las 2 horas del reloj. A partir de este punto se va retirando la sonda lentamente hasta llegar al cayado. Es difícil identificar el segmento de la aorta que se está visualizando, dado que no hay estructuras que lo identifiquen. En niveles inferiores, la pared anterior está situada cerca del transductor, mientras que en niveles medios, es la pared izquierda la que se encuentra más cerca del transductor.

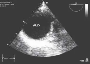
Fig 48 Proyección transversal de aorta descendente Abreviaturas Ao aorta - фото 47

Fig. 4.8 Proyección transversal de aorta descendente. Abreviaturas: Ao = aorta.

4.4.4.2 Sección longitudinal

La aorta ascendente se visualiza hasta el tercio superior con un corte de 90 a 110°. En el cayado aórtico la sección es circular y la aorta descendente se visualiza como un tubo, donde la parte más proximal se sitúa a la derecha de la imagen.

4.5 Indicaciones

Dado que se trata de una exploración semiinvasiva, está indicada únicamente en aquellas situaciones en las que puede proporcionar información útil para el manejo del paciente.

4.5.1 Indicaciones absolutas

4.5.1.1 Endocarditis infecciosa

La ETE es una técnica diagnóstica fundamental cuando hay sospecha clínica de endocarditis infecciosa, ya que la detección de vegetaciones, abscesos o dehiscencia protésica se considera un criterio mayor para su diagnóstico.

En pacientes con endocarditis sobre válvula nativa, la sensibilidad de la ETT para la detección de vegetaciones endocárdicas se sitúa alrededor del 50%, mientras que es superior al 95% con la ETE. En pacientes con prótesis valvulares, la sensibilidad de la ETT es aún menor, mientras que con la ETE es superior al 90%. La especificidad es alta con ambas técnicas. La ETE es también superior a la ETT en la detección de patología perianular: abscesos, aneurismas micóticos y fístulas, complicaciones especialmente frecuentes en pacientes portadores de prótesis valvulares. También en la detección de lesiones satélites por impacto del chorro y otras complicaciones de la endocarditis, como perforación de velos o ruptura de cuerdas tendinosas mitrales. Sin embargo, en el diagnóstico de la endocarditis sobre válvulas derechas y sus complicaciones, la ETE no ha demostrado superioridad frente a la ETT, ya que las cavidades derechas están más próximas a la pared torácica. Por todo esto, la ETE está indicada en todo paciente con sospecha clínica alta de endocarditis cuando el estudio transtorácico no es definitivo y cuando existe un alto riesgo de complicaciones, como en la endocarditis sobre válvula aórtica y en las endocarditis protésicas.

4.5.1.2 Disfunción protésica

Aunque la ETT permite una correcta valoración de los gradientes transprotésicos, la ETE es muy superior en el estudio de las alteraciones estructurales de la prótesis en posición mitral o aórtica y en la cuantificación de la regurgitación protésica mitral, ya que en la ETT la prótesis interfiere con el haz de ultrasonidos dificultando la valoración de la aurícula izquierda y del flujo de regurgitación protésica. La ETE permite estudiar la prótesis mitral desde el lado auricular, y es mucho más sensible que la ecocardiografía conventional en el estudio de regurgitaciones protésicas y en la detección de la trombosis protésica.

4.5.1.3 Patología aórtica

Una de las principales indicaciones de la ETE es el estudio de la patología aórtica, principalmente la disección aórtica. La sensibilidad y la especificidad de esta técnica son superiores al 95%. Permite confirmar el diagnóstico de disección en la mayoría de los casos, informando sobre su extensión, localización de la puerta de entrada, tamaño y flujo de la falsa luz, presencia de trombosis de la falsa luz, gravedad y mecanismos de la regurgitación aórtica y presencia de derrame pericárdico. La afectación de los troncos supraaórticos puede completarse por vía supraesternal. Dado que la técnica es rápida y puede realizarse a la cabecera del paciente, es el método de elección en el paciente hemodinámicamente inestable, en el que se necesita tomar una decisión rápida. Cuando persistan dudas o el ecocardiografista no sea experimentado deberá recurrirse a otras técnicas de imagen.

Fig 49 Aneurisma de aorta descendente Abreviaturas Ao aorta Fig 410 - фото 48

Fig. 4.9 Aneurisma de aorta descendente. Abreviaturas: Ao = aorta.

Fig 410 Disección de aorta descendente con trombosis de la falsa luz - фото 49

Fig. 4.10 Disección de aorta descendente, con trombosis de la falsa luz. Izquierda: proyección transversal. Derecha: proyección longitudinal. Abreviaturas: VL = verdadera luz; FL = falsa luz.

4.5.1.4 Prevalvuloplastia

Aunque la ETT aporta habitualmente una adecuada información sobre la estructura y función de la válvula mitral, la vía transesofágica es superior en la detección de trombos en la aurícula izquierda y la orejuela, por lo que se deberá realizar un estudio transesofágico dentro de las 24 horas previas a la valvuloplastia mitral. Por otro lado, esta técnica ofrece información adicional sobre la etiología y la severidad de la regurgitación mitral asociada.

4.5.1.5 Ablación de venas pulmonares

Al igual que con la valvuloplastia mitral, deberá realizarse una ETE dentro de las 24 horas previas a la realización de esta técnica para descartar la presencia de trombos.

4.5.2 Indicaciones relativas

4.5.2.1 Precardioversión en la fibrilación auricular

Читать дальше
Тёмная тема
Сбросить

Интервал:

Закладка:

Сделать

Похожие книги на «Ecocardiografía-Doppler»

Представляем Вашему вниманию похожие книги на «Ecocardiografía-Doppler» списком для выбора. Мы отобрали схожую по названию и смыслу литературу в надежде предоставить читателям больше вариантов отыскать новые, интересные, ещё непрочитанные произведения.


Отзывы о книге «Ecocardiografía-Doppler»

Обсуждение, отзывы о книге «Ecocardiografía-Doppler» и просто собственные мнения читателей. Оставьте ваши комментарии, напишите, что Вы думаете о произведении, его смысле или главных героях. Укажите что конкретно понравилось, а что нет, и почему Вы так считаете.

x