Autores Varios - Ecocardiografía-Doppler

Здесь есть возможность читать онлайн «Autores Varios - Ecocardiografía-Doppler» — ознакомительный отрывок электронной книги совершенно бесплатно, а после прочтения отрывка купить полную версию. В некоторых случаях можно слушать аудио, скачать через торрент в формате fb2 и присутствует краткое содержание. Жанр: unrecognised, на испанском языке. Описание произведения, (предисловие) а так же отзывы посетителей доступны на портале библиотеки ЛибКат.

Ecocardiografía-Doppler: краткое содержание, описание и аннотация

Предлагаем к чтению аннотацию, описание, краткое содержание или предисловие (зависит от того, что написал сам автор книги «Ecocardiografía-Doppler»). Если вы не нашли необходимую информацию о книге — напишите в комментариях, мы постараемся отыскать её.

Coordinada por el profesor Francisco Javier Chorro Gascó, catedrático de Medicina de la Universitat de València, esta obra es fruto de la participación de un número amplio de autores que utilizan la técnica de la ecocardiografía-Doppler en el diagnóstico de la cardiopatías. En ella se abordan desde los fundamentos teóricos hasta los avances más recientes.

Ecocardiografía-Doppler — читать онлайн ознакомительный отрывок

Ниже представлен текст книги, разбитый по страницам. Система сохранения места последней прочитанной страницы, позволяет с удобством читать онлайн бесплатно книгу «Ecocardiografía-Doppler», без необходимости каждый раз заново искать на чём Вы остановились. Поставьте закладку, и сможете в любой момент перейти на страницу, на которой закончили чтение.

Тёмная тема
Сбросить

Интервал:

Закладка:

Сделать
Fig 41 Visión del plano basal sección transversal a nivel de la válvula - фото 40

Fig. 4.1 Visión del plano basal, sección transversal a nivel de la válvula aórtica, corte a 45°. 1a) Diástole, con la típica imagen de la válvula aórtica en «Y». 1b) Sístole. En el centro de la imagen se localiza la válvula aórtica, por encima de ésta, la aurícula izquierda, y por debajo, la aurícula derecha. Entre ambas estructuras se observa el septo interauricular. Abreviaturas: AI = aurícula izquierda; AD = aurícula derecha; ci = sigmoidea coronaria izquierda; cd = sigmoidea coronaria derecha; nc = valva no coronaria; SIA = septo interauricular.

Fig 42 2a Proyección transversal a nivel del septum interauricular 2b - фото 41

Fig. 4.2 2a) Proyección transversal a nivel del septum interauricular. 2b) Flexionando ligeramente hacia delante se visualiza la orejuela izquierda y la vena pulmonar superior izquierda. Abreviaturas: SIA = septo interauricular.

c) Raíz aórtica y arterias coronarias. El tronco de la coronaria izquierda se visualiza fácilmente en la localización de las 3 horas del reloj. Después de un recorrido de unos 2 cm, se encuentra la bifurcación de las dos ramas principales, la arteria circunfleja, que sigue una dirección posterior pegada a la pared de la aurícula izquierda, y la arteria descendente anterior, dirigida hacia delante. El ostium de la arteria coronaria derecha y su porción proximal se visualizan a las 6 o 7 horas del reloj en el 70% de los casos.

d) Aorta ascendente y tronco de la arteria pulmonar. El desplazamiento superior de la sonda permite registrar el tronco de la arteria pulmonar y su bifurcación en las dos arterias pulmonares principales. La arteria pulmonar derecha se sitúa posterior (superior en la pantalla) a la vena cava superior. La arteria pulmonar izquierda se sitúa en el lado contralateral, pero habitualmente no se ve en todo su recorrido por interposición del bronquio principal izquierdo. La válvula se localiza en posición anterior e izquierda a la aorta.

4.4.1.2 Sección longitudinal

La sección longitudinal o sagital permite visualizar las estructuras cardiacas de forma ortogonal a la sección transversal. Mediante ligeras rotaciones obtenemos distintos planos de corte.

A nivel basal, se obtiene la sección longitudinal de la aorta ascendente proximal y del tronco pulmonar principal. Por delante de la aorta ascendente aparece la arteria pulmonar derecha. Una leve rotación del transductor en sentido antihorario permite obtener una sección longitudinal del tracto de salida del ventrículo derecho, además de la válvula, el tronco y la arteria pulmonar izquierda proximal.

Fig 43 Proyección longitudinal bicava Abreviaturas AD aurícula derecha - фото 42

Fig. 4.3 Proyección longitudinal bicava. Abreviaturas: AD = aurícula derecha; AI = aurícula izquierda; VCI = vena cava inferior; VCS = vena cava superior.

Girando la sonda en sentido horario se obtiene un corte de las aurículas, del tabique interauricular y una sección longitudinal de la vena cava superior, y se visualiza parcialmente la vena cava inferior (plano bicava). Si se avanza ligeramente el transductor, pueden verse la orejuela derecha, el tabique interauricular y la válvula de Eustaquio. Esta proyección es ideal para diagnosticar los defectos septales tipo seno venoso. Efectuando rotaciones a este nivel pueden identificarse las venas pulmonares derechas e izquierdas.

4.4.2 Plano de cuatro cámaras

El desplazamiento de la sonda de 30 a 35 cm desde la arcada dentaria permite visualizar el plano de cuatro cámaras. Se obtiene con una introducción ligera de 3 a 5 cm desde el plano basal de la válvula aórtica. Habitualmente, el estudio se inicia desde este plano, con el objetivo de acortar el procedimiento y hacer una exploración dirigida.

4.4.2.1 Sección transversal

Las aurículas aparecen en la parte superior de la imagen y los ventrículos en la parte inferior, las estructuras derechas a la izquierda y las izquierdas a la derecha. Se pueden obtener dos secciones:

a) Cuatro cámaras. El plano de corte es similar al obtenido desde la vía apical. La estructura dominante es la crux cordis , que separa las cuatro cavidades. Al contrario que por vía apical, el ápex se visualiza defectuosamente. Las estructuras anatómicas mejor definidas son las aurículas, las válvulas auriculoventriculares y el septo interauricular. En este plano, la dirección del flujo mitral es paralela al haz de ultrasonidos, y por este motivo es muy adecuado para analizar la gravedad de las lesiones mitrales y tricuspídeas.

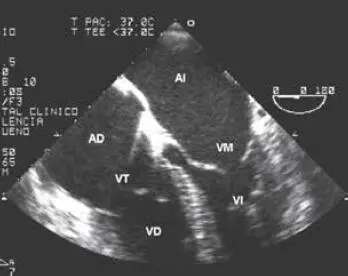
Fig 44 Proyección transversal de cuatro cámaras Abreviaturas AD aurícula - фото 43

Fig. 4.4 Proyección transversal de cuatro cámaras. Abreviaturas: AD = aurícula derecha; AI = aurícula izquierda; VD = ventrículo derecho; VI = ventrículo izquierdo; VM = válvula mitral; VT = válvula tricúspide.

b) Cinco cámaras. Una ligera retroflexión permite visualizar el tracto de salida del ventrículo izquierdo y las sigmoideas aórticas. Es éste un plano útil para el estudio de la regurgitación aórtica o de la miocardiopatía hipertrófica obstructiva.

Fig 45 Proyección transversal de cinco cámaras Abreviaturas AD aurícula - фото 44

Fig. 4.5 Proyección transversal de cinco cámaras. Abreviaturas: AD = aurícula derecha; AI = aurícula izquierda; Ao = aorta; VD = ventrículo derecho; VI = ventrículo izquierdo. Ver imagen en color en el apéndice.

4.4.2.2 Sección longitudinal (plano de dos cámaras)

A este nivel podemos visualizar la aurícula izquierda en la parte superior, el ventrículo izquierdo en la parte inferior y la válvula mitral entre ambas cámaras. Con una pequeña rotatión aparece la orejuela izquierda. Es éste un buen plano para estudiar la regurgitación mitral, la disfunción de la prótesis mitral y la presencia de trombos en la orejuela izquierda.

Fig 46 Proyección longitudinal de 2 cámaras Abreviaturas AI aurícula - фото 45

Fig. 4.6 Proyección longitudinal de 2 cámaras. Abreviaturas: AI = aurícula izquierda; VI = ventrículo izquierdo.

Desde este plano, rotando hasta 120°, tendremos una visión del tracto de salida del ventrículo izquierdo, con las sigmoideas aórticas y la aorta ascendente proximal.

Fig 47 Proyección longitudinal a 120 Tracto de salida del ventrículo - фото 46

Fig. 4.7 Proyección longitudinal a 120°. Tracto de salida del ventrículo izquierdo. Abreviaturas: AI = aurícula izquierda; Ao = aorta; VI = ventrículo izquierdo.

4.4.3 Plano transgástrico

4.4.3.1 Sección transversal

La introducción de la sonda de 35 a 40 cm desde la arcada dentaria sitúa el transductor en el estómago. La anteflexión máxima del extremo distal de la sonda posibilita la obtención de un corte transversal del corazón a nivel de los ventrículos. Este plano es muy útil para monitorizar la contractilidad segmentaria y la función sistólica global durante la cirugía. La cara inferior del ventrículo izquierdo se representa en la parte superior de la pantalla y la cara anterior en la porción más alejada del transductor. A la derecha de la imagen se registra la cara lateral, mientras que a la izquierda se sitúan el septo interventricular y el ventrículo derecho. El músculo papilar posteromedial se encuentra a nivel de las 11 horas del reloj y el anterolateral a las 5 horas. Este plano permite una perfecta visualización de la cara posterior del ventrículo derecho.

Читать дальше
Тёмная тема
Сбросить

Интервал:

Закладка:

Сделать

Похожие книги на «Ecocardiografía-Doppler»

Представляем Вашему вниманию похожие книги на «Ecocardiografía-Doppler» списком для выбора. Мы отобрали схожую по названию и смыслу литературу в надежде предоставить читателям больше вариантов отыскать новые, интересные, ещё непрочитанные произведения.


Отзывы о книге «Ecocardiografía-Doppler»

Обсуждение, отзывы о книге «Ecocardiografía-Doppler» и просто собственные мнения читателей. Оставьте ваши комментарии, напишите, что Вы думаете о произведении, его смысле или главных героях. Укажите что конкретно понравилось, а что нет, и почему Вы так считаете.

x