Rare, inherited imperfections in enamel or dentine – e.g. amelogenesis imperfecta, dentinogenesis imperfecta (see Chapter 8).
Death of pulp. This causes the tooth to progressively darken.
Age – teeth naturally darken with age.
Extrinsic staining occurs on enamel surfaces after a tooth has erupted, when pigments from the following substances stain the salivary pellicle:
Tannin (in tea, coffee, and red wine).
Tobacco (smoking or chewing).
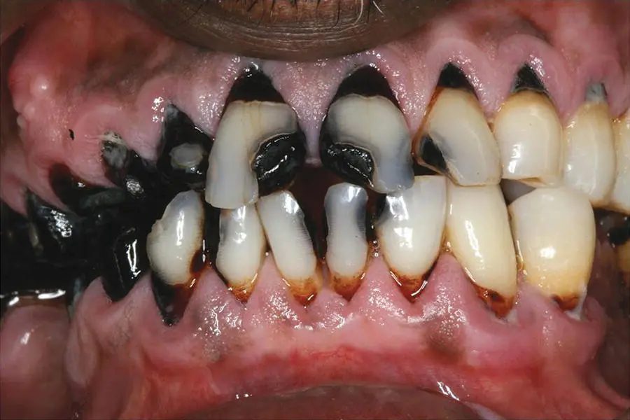
Betel nut (paan, gutka, or quid) chewing in certain ethnic groups ( Figure 2.6).
Mouthwash (such as those containing chlorhexidine and essential oils).
Iron supplements.
Foods – e.g. berries and turmeric.

Figure 2.6 Extrinsic staining caused by betel nut chewing.
Source: Dr Susan Hooper, Bristol University. Reproduced with permission of Susan Hooper.
Extrinsic stains can be removed with scaling and polishing or by air polishing using a mild abrasive powder.
Occasionally, patients with clean mouths develop a dark stain on lingual and palatal tooth surfaces, which is difficult to remove. This is called black stain and the cause is unknown. Children can also develop green stain , when the membrane covering an erupting tooth remains and is stained by bacteria. This is usually seen on the buccal surfaces of the upper incisors, can look unsightly, and is often difficult to remove.
Although the OHE cannot undertake tooth whitening in the UK, they should be aware of what is involved and its benefits and limitations in case they need to answer a patient’s question.
Under the General Dental Council’s Scope of Practice (see Chapter 31), in the UK only registered dental professionals (dentists, therapists and hygienists) can provide tooth whitening as it is considered a form of dentistry, and should only be undertaken following an assessment by a registered dentist [1]. Therapists and hygienists must have a prescription from the dentist before providing this treatment. Some beauty salons offer teeth whitening, but this is illegal in the UK.
Products that contain or release less than 0.1% hydrogen peroxide can be legally sold in Europe, but unregistered individuals cannot legally use them to provide treatment [1].
Patients should be advised that illegal treatment and home teeth whitening kits can put their oral health at risk, particularly from ill‐fitting whitening trays which may cause the gel to leak into the gums and the rest of the oral cavity, and cause sensitivity, or even blistering.
Patients may also ask about toothpaste products, but these often have insufficient whitening product to make a significant difference; they may help remove stains, but will not penetrate the tooth tissue itself.
Teeth whitening in the practice
Teeth whitening carried out in the practice can make a significant difference to the colour of teeth. Whitening does not cause any damage to teeth and can be used for patients over 18 years old. It simply changes the colour of dentine, so it can be used for patients affected by systemic intrinsic staining, such as tetracycline, as well as extrinsic stains caused by tea, coffee, tobacco products, and red wine.
The process uses gels containing hydrogen peroxide (maximum concentration 6%), or chemicals that release hydrogen peroxide (carbamide peroxide, zinc peroxide). Products come in different concentrations, and the higher the concentration the more likely the patient will experience sensitivity. European Union law forbids the use of products containing more than 6% hydrogen peroxide.
Patients can experience sensitivity when undertaking whitening, but this is transient and can be easily managed by the use of sensitive formula toothpastes or remineralising pastes/gels/mousse, such as GC Tooth Mousse® (which contains Recaldent TM).
The gel is applied in the dental surgery or using custom‐made trays at home. The process takes 2–3 weeks, but longer if the tooth shade is towards the blue/grey range. Whitening will not change the colour of crowns or restorations, and so if the patient is to undergo treatment to replace these, whitening should be undertaken first. It can, however, help with stains around the margins of restorations. The consumption of tea, coffee, red wine, turmeric, and tobacco should be avoided during the whitening treatment.
Patients should be advised that teeth whitening is not permanent. It can last anything from a few months to up to 3 years. Generally, the effect will not last long if the patient smokes, drinks red wine, tea, or coffee in significant amounts, which will all restain the teeth.
1 1. General Dental Council. (2018). Tooth Whitening. Available at: http://www.gdc‐uk.org/patients/illegal‐practice/legal‐position[accessed 13 March 2019].
Chapter 3 Dental plaque‐induced gingivitis
Learning outcomes
By the end of this chapter you should be able to:
1 Define dental plaque‐induced gingivitis (and inflammation), and describe its primary and secondary causes.
2 Explain the difference between signs and symptoms, and list the signs and symptoms of dental plaque‐induced gingivitis.
3 Explain how to treat this common condition.
DENTAL PLAQUE‐INDUCED GINGIVITIS
Dental plaque‐induced gingivitis ( Figures 3.1, 3.2, and 3.3) describes the inflammation of the gums as defined in the 2017 Classification of Periodontal Diseases . (It was formerly referred to as chronic gingivitis under the previous classification of periodontal diseases.)
Dental plaque‐induced gingivitis is the condition that the oral health educator (OHE) will probably encounter most frequently in both children and adults.
In the UK Adult Dental Health Survey (2009), gingival bleeding on probing (a sign of active gingival disease) was found in 54% of dentate adults [1]. In the same survey, 59% of dentate adults aged 45–54, and 49% of dentate adults aged 65–74, showed gingival bleeding [1].
Since, initially, the condition rarely causes pain and affected gums can appear relatively normal, many sufferers are unaware that anything is wrong, and often will tell the educator that their gums have bled when brushing for years. OHEs will hear comments, such as: ‘ I thought it was normal for my gums to bleed, ’ or, ‘ My gums always bleed when I have a new toothbrush ’.
Figure 3.1 Localised marginal gingivitis.
Source: Professor Nicola West, Bristol University. Reproduced with permission of Professor Nicola West.
Figure 3.2 Generalised marginal gingivitis.
Source: Alison Chapman.
Figure 3.3 Gingivitis in a neglected mouth.
Source: Alison Chapman.
The OHE should promote the message that, ‘ healthy gums do not bleed’ , and in order to do this the educator needs to understand gingivitis and its causes, and have a basic knowledge of the body’s inflammatory process.
Читать дальше