Siegfried Siegesmund - Monument Future

Здесь есть возможность читать онлайн «Siegfried Siegesmund - Monument Future» — ознакомительный отрывок электронной книги совершенно бесплатно, а после прочтения отрывка купить полную версию. В некоторых случаях можно слушать аудио, скачать через торрент в формате fb2 и присутствует краткое содержание. Жанр: unrecognised, на немецком языке. Описание произведения, (предисловие) а так же отзывы посетителей доступны на портале библиотеки ЛибКат.

Monument Future: краткое содержание, описание и аннотация

Предлагаем к чтению аннотацию, описание, краткое содержание или предисловие (зависит от того, что написал сам автор книги «Monument Future»). Если вы не нашли необходимую информацию о книге — напишите в комментариях, мы постараемся отыскать её.

Seit der Antike weiß man um das Problem der Verwitterung von Gestein und der damit einhergehenden Verschlechterung des Zustands von Gebäuden, Mauerwerk, Denkmälern, Skulpturen etc.
Alle vier Jahre treffen sich auf einer internationalen Tagung Experten, die sich mit den entsprechenden Sachfragen beschäftigen. Der „14th International Congress on the Deterioration and Conservation of Stone“ findet im September 2020 in Göttingen statt. Er ist die wichtigste Veranstaltung zur Verbreitung des Wissens von Praktikern und Forschern, die im Bereich der Steinkonservierung zur Erhaltung des baulichen Kulturerbes arbeiten: Geowissenschaftler, Architekten, Bauspezialisten, Ingenieure, Restauratoren, Denkmalpfleger und Bauherren.
Der Tagungsband mit über 150 wissenschaftlichen Beiträgen repräsentiert und erfasst den neuesten Stand der Technik auf diesem Gebiet.
Themen sind:
– Charakterisierung von Schadensphänomenen von Steinen und verwandten Baumaterialien (Stuck, Putz, Mörtel usw.)
– Methoden zur Untersuchung des Steinverfalls in situ und zerstörungsfreie Prüfung
– Langzeitüberwachung von Steindenkmälern und Gebäuden
– Simulation und Modellierung des Zerfalls
– Technologien und Entwicklung verbesserter Bearbeitung und Verwendung von Stein in Neubauten
– Bewertung der Langzeitwirkung von Bearbeitungstechniken
– Auswirkungen des Klimawandels auf die Steinverwitterung des Kulturerbes
– Berichte zur Steinkonservierung: Fallstudien und Projekte
– Digitalisierung und Dokumentation von Steinkonservierung

The 14th International Congress on the Deterioration and Conservation of Stone, entitled MONUMENT FUTURE: DECAY AND CONSERVATION OF STONE is a quadrennial event that brings together a world-wide community of geoscientists, architects, building specialists, engineers, conservators, restorators, monument curators and building owners who are concerned about the conservation of cultural stone structures and objects. Since antiquity, the weathering and deterioration of historical buildings, masonry, monuments, sculptures etc. using natural stones has been a very well-known problem.
This conference is the main gathering for the dissemination of knowledge in the field of stone deterioration issues. It represents and captures the state-of-the-art in the field of stone conservation and cultural heritage conservation with regards to the following topics:
– Characterisation of damage phenomena of stone and related building materials (plaster, rendering, mortar etc.)
– Methods for the investigation of stone decay; in-situ and non-destructive testing
– Long-term monitoring of stone monuments and buildings
– Simulation and modelling of decay
– Technology and development of improved treatments and use of stone in new buildings
– Assessment of long-term effects of treatments
– Impact of climate change on stone decay of Cultural Heritage
– Reports about stone conservation: case studies and projects
– Digitalization and documentation in stone conservation

Monument Future — читать онлайн ознакомительный отрывок

Ниже представлен текст книги, разбитый по страницам. Система сохранения места последней прочитанной страницы, позволяет с удобством читать онлайн бесплатно книгу «Monument Future», без необходимости каждый раз заново искать на чём Вы остановились. Поставьте закладку, и сможете в любой момент перейти на страницу, на которой закончили чтение.

Тёмная тема
Сбросить

Интервал:

Закладка:

Сделать
Figure 2Sasanian mortar with very porous structure and fragment of gypsum rock - фото 82

Figure 2:Sasanian mortar with very porous structure and fragment of gypsum rock (plane polarized light).

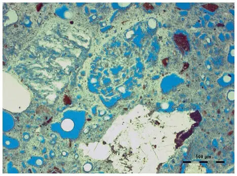
Figure 3Ilkhanid render with porous structure The grains in the upper part of - фото 83

Figure 3:Ilkhanid render with porous structure. The grains in the upper part of photograph exhibit distinct reaction rims (arrows); plain polarized light.

Embedded in the gypsum matrix are low quantities of gypsum rock fragments and brownish aggregate material with a maximum grain size of about 6 mm. Both may have entered the mortar as contaminants in the furnace or on the construction site. However, an intentional admixture as aggregates cannot be ruled out. Unreacted anhydrite was not detected.As the polarized light microscopy of thin sections showed, the Ilkhanid plaster is quite different from a Sasanian mortar. It contains still a lot of unreacted firing products with a maximum grain size up to 8 mm. Occasionally distinct reaction rims around the grains are visible (Figure 3). Both in the firing products and in the mortar matrix fine clayey (ceramic) particles occur. They most probably derive from impure raw material and not from the intentional admixture of crushed bricks as pozzolanic material. Like the Sasanian plaster the 115Ilkhanid plaster contains gypsum rock fragments with a grain size up to 8 mm. It cannot be decided whether they were added as aggregate or derive from insufficiently fired raw material. Overall, the matrix fabric of the Ilkhanid plaster appears to be denser than that of the Sasanian plaster due to the abundance of unreacted components.

Figure 4Furnace for plaster production Cross section left and view into the - фото 84

Figure 4:Furnace for plaster production. Cross section (left) and view into the shaft with installation of temperature measuring device (thermocouple 1).

Traditional production of gypsum mortar

For the restoration work locally available material is used. The raw material for the plaster production comes from a quarry some 17 km WNW off the Takht-e Soleyman. Two slightly different qualities of gypsum with respect to the contents of non sulfate accessory minerals are mined. The gypsum rock contains dolomite (ankerite), calcite, quartz, feldspar, clay minerals and celestite as accessory minerals which can sum up to 8–10 mass%.

The firing of the raw material is done in the traditional way as it was done many centuries ago (Soleymani, Pirak 2012, Sobott 2018). A shaft furnace built of bricks with a diametre of 1.90 m was sunk 2.90 m deep in the ground. The quarried gypsum lumps are piled up in the furnace in such a way that something like a corbeled vault is formed. Large pieces of gypsum rock are on the inside of the construction facing the firing chamber and small pieces are used to fill the space between the furnace wall and the rock pile. The apex of this artful cone-shaped construction surmounts the upper end of the furnace (Figure 4). A mix of combustible material, mostly wood, is piled up inside the vault.

Once the fire is lit the uncontrolled firing process lasts about 8 hours. Due to the construction of the furnace the temperature distribution in the gypsum filling is extremely variable. Thermocouples installed at different positions in the gypsum pile showed that the temperature difference between the central part and the margin may be as great as 800 °C so that the gypsum lumps are exposed to temperatures ranging from 200 and 1,000 °C (Jäger 2017, Jafarpanah 2017). The cooling period after the extinction of the fire lasts about 24 hours. Then the fired material is removed from the furnace and crushed with large hammers by hand at which high fired gypsum lumps disintegrate easily into powder while low fired lumps break into smaller pieces. The crushed material is sieved and filled into plastic bags. For use at the construction site the material was sieved to discard grains larger than 2 mm. The phase composition of the fired product is variable and depends mainly on the grain size and composition of the raw material, the firing temperature and time, and the resulting partial water vapour pressure on the surface of the lumps. For the assessment of the firing results, 116gypsum pieces adjacent to thermocouples were sampled and studied in situ by colouring tests and in the laboratory by polarized light microscopy of thin sections, X-ray diffraction and thermoanalysis (DTA, DTG). In order to improve the data interpretation of the field samples, experiments with raw material from the gypsum quarry were carried out under controlled temperature and time conditions in the laboratory and the resulting samples analyzed in the same manner.

Phase composition of the calcined raw material

Gypsum lumps from the furnace exhibited a temperature dependent zonation with respect to the occurrence of phases and phase morphologies (Lenz, Sobott 2008) . Low fired gypsum lumps typically consist of three zones. A thin surface layer of rehydrated anhydrite III (dehydrated hemihydrate), is followed by a layer of fibrous hemihydrate, and the central part is made up of a mixture of hemihydrate and dihydrate (unconverted gypsum). Thermoanalytic measurements prove anhydrite III to be stable up to 370 °C. It forms fibrous crystals, partly pseudomorph after gypsum. With increasing firing temperature hemihydrate and anhydrite III are converted to anhydrite II (natural anhydrite). Anhydrite II formed in the temperature range between 370 and 800 °C shows elongated fibrous crystals and at temperatures above 800 °C the crystals tend to be short prismatic (Figure 5).

Figure 5left short prismatic anhydrite II crystals in samples fired at 1100 - фото 85

Figure 5:left: short prismatic anhydrite II crystals in samples fired at 1,100 °C for 5 hours; right: prismatic anhydrite crystals in samples fired at 800 °C for 5 hours; crossed polarized light.

In a laboratory sample which was fired at 600 °C for 5 hours radial fibrous anhydrite crystals were observed. Obviously the shape of anhydrite II crystals and aggregates in fired samples depends largely on how the heat treatment was executed.

In thin sections of gypsum samples which were exposed to temperatures above 600 °C isotropic crystals with a hexagon outline were observed.

They were identified by EDXRF measurements as periclase MgO (Figure 6).

Müller et al. (2009) described the formation of periclase by a contact metamorphic reaction in dolomite marble at P = 1 kbar and T > 605 °C

CaMg(CO 3) 2→ MgO + CaCO 3+ CO 2dolomite periclase calcite

Since idiomorphic to hypidiomorphic dolomite crystals up to 400µm in size were observed in thin sections of the raw material from the gypsum quarry near the Takht-e-Soleyman, it is reasonable to assume that the dolomite disintegrated and was converted to periclase according to the above mentioned chemical reaction. Therefore the appearance of periclase in samples can be regarded as an intrinsic temperature indicator if the pressure dependence of the reaction is known.

Figure 6Periclase crystals in anhydrite II matrix sample from furnace - фото 86

Figure 6:Periclase crystals in anhydrite II matrix; sample from furnace, adjacent to thermocouple that recorded a maximum temperature of 800 °C; plane polarized light.

Читать дальше
Тёмная тема
Сбросить

Интервал:

Закладка:

Сделать

Похожие книги на «Monument Future»

Представляем Вашему вниманию похожие книги на «Monument Future» списком для выбора. Мы отобрали схожую по названию и смыслу литературу в надежде предоставить читателям больше вариантов отыскать новые, интересные, ещё непрочитанные произведения.


Lloyd Biggle, Jr. - Monument
Lloyd Biggle, Jr.
Siegfried Ahlborn - Im Nebel der Wölfe
Siegfried Ahlborn
Siegfried Bethmann - Malchen uus Schwenge
Siegfried Bethmann
Отзывы о книге «Monument Future»

Обсуждение, отзывы о книге «Monument Future» и просто собственные мнения читателей. Оставьте ваши комментарии, напишите, что Вы думаете о произведении, его смысле или главных героях. Укажите что конкретно понравилось, а что нет, и почему Вы так считаете.