Innovations in Preventive Dentistry

Здесь есть возможность читать онлайн «Innovations in Preventive Dentistry» — ознакомительный отрывок электронной книги совершенно бесплатно, а после прочтения отрывка купить полную версию. В некоторых случаях можно слушать аудио, скачать через торрент в формате fb2 и присутствует краткое содержание. Жанр: unrecognised, на английском языке. Описание произведения, (предисловие) а так же отзывы посетителей доступны на портале библиотеки ЛибКат.

Innovations in Preventive Dentistry: краткое содержание, описание и аннотация

Предлагаем к чтению аннотацию, описание, краткое содержание или предисловие (зависит от того, что написал сам автор книги «Innovations in Preventive Dentistry»). Если вы не нашли необходимую информацию о книге — напишите в комментариях, мы постараемся отыскать её.

Prevention is better than healing … or treatment. Thus, preventive dentistry is a cross-sectional challenge for all fields in dentistry, and one that has already achieved great success, as shown by the caries decline in many countries. The walls between prevention and treatment have recently fallen in caries and periodontal disease, as well as in orthodontics, where guidance of function and space maintenance are a combination of prevention and treatment.
This book discusses new developments and innovations in preventive dentistry, from primary «real» prevention to secondary prevention by inactivating initial lesions, and on to tertiary prevention to avoid subsequent progression and
complications of manifest oral disease. This evidence base is then translated into clinical dental practice.
The book addresses everyone interested or involved in dentistry, including students, the whole dental practice team, educators, health scientists, and policy makers, who want to gain insight into these up-to-date clinical practices and future developments. It intends to make an impact on teaching and all fields of clinical dentistry – not by giving cookbook recipes, but by pointing out the rationale behind the changes in our routines.
Presented by an international group of recognized specialists in their fields, the topics include the new understanding and management of caries and periodontal disease, prevention of orthodontic problems, diagnostic approaches, the role of diet and according recommendations for oral health, routes to better oral hygiene, changes in oral disease patterns and their consequences, non- and minimally invasive caries treatment, current fluoride guidelines including the use of silver fluorides, risk management, a common risk-factor approach, facilitating behavior changes, sealants, and probiotics. This broad spectrum is elucidated for the most relevant dental problems from early childhood to seniors to implement preventively oriented dental practice.

Innovations in Preventive Dentistry — читать онлайн ознакомительный отрывок

Ниже представлен текст книги, разбитый по страницам. Система сохранения места последней прочитанной страницы, позволяет с удобством читать онлайн бесплатно книгу «Innovations in Preventive Dentistry», без необходимости каждый раз заново искать на чём Вы остановились. Поставьте закладку, и сможете в любой момент перейти на страницу, на которой закончили чтение.

Тёмная тема
Сбросить

Интервал:

Закладка:

Сделать

Figs 23a to cFor a complete periodontal examination more p - фото 24 Figs 23a to cFor a complete periodontal examination more precisely scaled - фото 25 Figs 23a to cFor a complete periodontal examination more precisely scaled - фото 26

Figs 2-3a to cFor a complete periodontal examination, more precisely scaled periodontal probes are required. (a) The PCPUNC 15 explorer (pressure calibrated, diameter of 0.5 mm) represents the standard periodontal probe with a graduation of 1 mm steps. (b) To explore interradicular attachment loss, a bended periodontal probe (Nabers probe, 3 mm graduation) is recommended for determination of furcation involvement. (c) Presentation of the application of periodontal probes around molar teeth.

Innovations in Preventive Dentistry - фото 27 Innovations in Preventive Dentistry - фото 28 Innovations in Preventive Dentistry - фото 29 Figs 24a to fA 38yearold at time of admission man with - фото 30 Figs 24a to fA 38yearold at time of admission man with an inconspicuous - фото 31 Figs 24a to fA 38yearold at time of admission man with an inconspicuous - фото 32

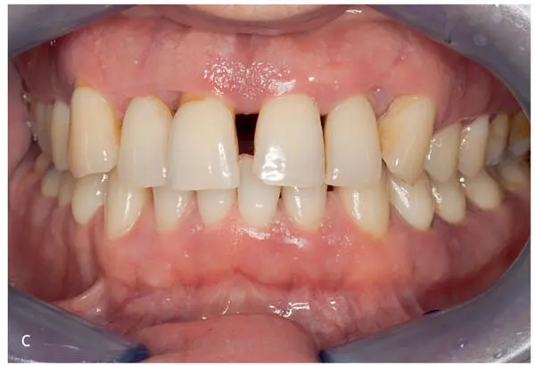
Figs 2-4a to fA 38-year-old (at time of admission) man with an inconspicuous general health and no medication. Diagnosis: periodontitis stage 4, grade C. This case continues in Fig 2-10. Baseline examinations: (a) first and fourth quadrants; (b) second and third quadrants; (c) frontal view; (d) maxillary arch; (e) mandibular arch; (f) baseline measurements of the clinical attachment level, including tooth migration and loosening, furcation involvement, and bleeding on probing (graphic illustration by Parostatus.de).

Figs 25a and bRadiographic examination of the patient introduced in Fig 23 - фото 33 Figs 25a and bRadiographic examination of the patient introduced in Fig 23 - фото 34

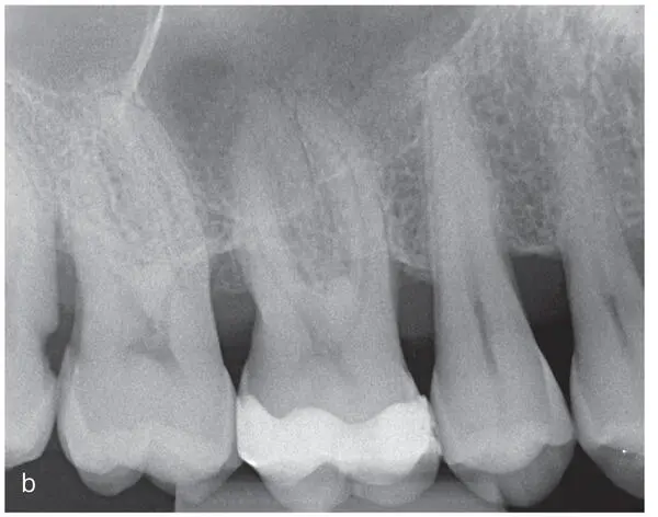
Figs 2-5a and bRadiographic examination of the patient introduced in Fig 2-3. (a) Panoramic radiograph and (b) intraoral radiographs. The radiographs show severe horizontal and vertical (locally) bone loss.

Fig 26Periodontal measurement of the clinical attachment level including - фото 35

Fig 2-6Periodontal measurement of the clinical attachment level, including tooth migration and mobility, furcation involvement, and bleeding on probing at the time of reevaluation (3 months after nonsurgical debridement; graphic illustration by Parostatus.de).

Innovations in Preventive Dentistry - фото 36 Innovations in Preventive Dentistry - фото 37 Figs 27a to eRepresentative images of the corrective therap - фото 38 Figs 27a to eRepresentative images of the corrective therapeutic phase a - фото 39 Figs 27a to eRepresentative images of the corrective therapeutic phase a - фото 40

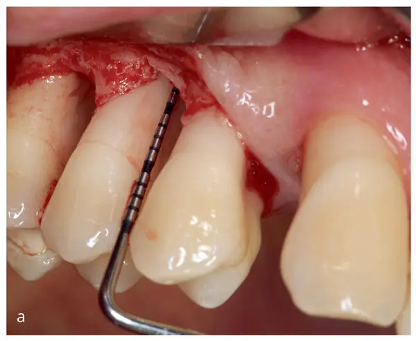
Figs 2-7a to eRepresentative images of the corrective therapeutic phase. (a) Intrabony three-wall defects subjected to regenerative periodontal therapy at maxillary right second premolar and first molar. (b) Wound closure upon application of enamel matrix derivatives onto the root surfaces. (c and d) Minimally invasive access to the three-wall intrabony defect at the mandibular right first molar. (e) Wound closure upon application of enamel matrix derivatives onto the root surface.

Innovations in Preventive Dentistry - фото 41 Figs 28a to dPeriodontal parameters in the course of period - фото 42 Figs 28a to dPeriodontal parameters in the course of periodontal therapy a - фото 43 Figs 28a to dPeriodontal parameters in the course of periodontal therapy a - фото 44

Figs 2-8a to dPeriodontal parameters in the course of periodontal therapy. (a) Periodontal inflamed surface area (PISA) 113projected to the palm of a hand; reduction of PISA during therapy up to 24 months after surgical treatment (supportive periodontal therapy [SPT]). (b) Attachment loss, (c) probing pocket depth, and (d) bleeding on probing (BOP) during active periodontal therapy and SPT (graphic illustration by Parostatus.de).

Innovations in Preventive Dentistry - фото 45 Innovations in Preventive Dentistry - фото 46 Innovations in Preventive Dentistry - фото 47 Figs 29a to fRadiographic images of the therapeutic outcome - фото 48 Figs 29a to fRadiographic images of the therapeutic outcome 2 years after - фото 49 Figs 29a to fRadiographic images of the therapeutic outcome 2 years after - фото 50

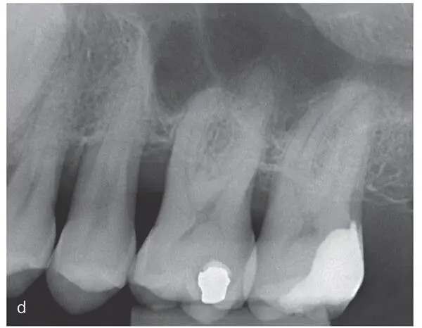
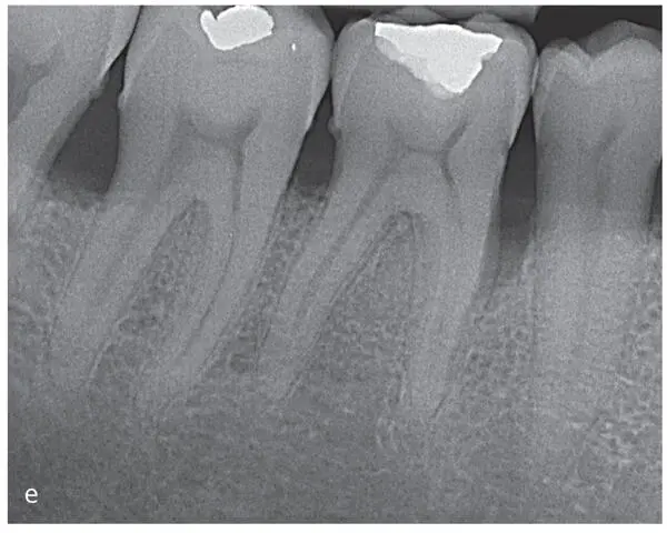
Figs 2-9a to fRadiographic images of the therapeutic outcome 2 years after regenerative surgical therapy. (a) Baseline radiograph: maxillary right second premolar to third molar. (b) Radiograph 2 years after surgery: maxillary right second premolar to second molar, with radiographic bone fill indicating periodontal regeneration upon application of enamel matrix derivatives. (c) Baseline radiograph: maxillary right second premolar to second molar. (d) Radiograph 2 years after surgery: maxillary right second premolar to second molar. (e) Baseline radiograph: mandibular right second premolar to second molar. (f) Radiograph 2 years after surgery: mandibular right second premolar to second molar, with radiographic bone fill indicating periodontal regeneration upon application of enamel matrix derivatives.

Читать дальше
Тёмная тема
Сбросить

Интервал:

Закладка:

Сделать

Похожие книги на «Innovations in Preventive Dentistry»

Представляем Вашему вниманию похожие книги на «Innovations in Preventive Dentistry» списком для выбора. Мы отобрали схожую по названию и смыслу литературу в надежде предоставить читателям больше вариантов отыскать новые, интересные, ещё непрочитанные произведения.


Отзывы о книге «Innovations in Preventive Dentistry»

Обсуждение, отзывы о книге «Innovations in Preventive Dentistry» и просто собственные мнения читателей. Оставьте ваши комментарии, напишите, что Вы думаете о произведении, его смысле или главных героях. Укажите что конкретно понравилось, а что нет, и почему Вы так считаете.

x