Alan Gunn - Parasitology
Здесь есть возможность читать онлайн «Alan Gunn - Parasitology» — ознакомительный отрывок электронной книги совершенно бесплатно, а после прочтения отрывка купить полную версию. В некоторых случаях можно слушать аудио, скачать через торрент в формате fb2 и присутствует краткое содержание. Жанр: unrecognised, на английском языке. Описание произведения, (предисловие) а так же отзывы посетителей доступны на портале библиотеки ЛибКат.
- Название:Parasitology
- Автор:
- Жанр:
- Год:неизвестен
- ISBN:нет данных
- Рейтинг книги:3 / 5. Голосов: 1
-
Избранное:Добавить в избранное
- Отзывы:
-
Ваша оценка:
- 60
- 1
- 2
- 3
- 4
- 5
Parasitology: краткое содержание, описание и аннотация
Предлагаем к чтению аннотацию, описание, краткое содержание или предисловие (зависит от того, что написал сам автор книги «Parasitology»). Если вы не нашли необходимую информацию о книге — напишите в комментариях, мы постараемся отыскать её.
Highly detailed textbook on parasites and parasite relationships Parasitology: An Integrated Approach
Parasitology: An Integrated Approach, 2nd edition
Parasitology — читать онлайн ознакомительный отрывок
Ниже представлен текст книги, разбитый по страницам. Система сохранения места последней прочитанной страницы, позволяет с удобством читать онлайн бесплатно книгу «Parasitology», без необходимости каждый раз заново искать на чём Вы остановились. Поставьте закладку, и сможете в любой момент перейти на страницу, на которой закончили чтение.
Интервал:
Закладка:
There are two stages in the life cycle of E. histolytica : the actively growing and feeding stage called the trophozoite form and the cyst transmission stage ( Figures 3.1and 3.2a,b). One should never refer to protozoa as producing eggs! In common with all other parasitic protozoa (but unlike the free‐living amoebae), E. histolytica has no contractile vacuole. Although it also lacks mitochondria, it has genes coding for proteins of mitochondrial origin within its nuclear genome. It also has organelles called ‘mitosomes’ that are double‐walled structures that lack DNA. Their function is uncertain, but they probably represent the remnants of mitochondria.
The trophozoite is 12–60 μm in size and has a clear granular outer cytoplasm, a more densely granular inner cytoplasm, and there is an aggregated region of chromatin referred to as a karyosome centrally located within the nucleus. Reproduction takes place asexually by cell division and through cyst formation. The stimuli causing the trophozoites to transform into cysts are uncertain, but it is an essential part of the life cycle. Therefore, targeting cyst formation using drugs might reduce parasite transmission (Mi‐ichi et al. 2019). The cysts are 10–15 μm in diameter and (when mature) contain four nuclei and characteristic bar‐shaped chromatoidal bodies that serve as a store of nucleoprotein. The cell wall contains chitin that provides protection and enables the cyst to survive in the outside environment for several months under favourable conditions. The output of cysts is enormous, and an infected person may excrete over 10 million cysts per day in their faeces.
Any trophozoites voided with faeces soon die and transmission usually occurs through faecal–oral contamination with infective cysts. Remember the f‐words: ‘flies, fingers, faeces, food’. Common means of contamination include drinking water (or ice made from contaminated water), vegetables grown on land fertilized with human faeces, and insects that move between faeces and our food. Dogs may act as transport hosts when they pick up cysts on their fur and then transfer them to us. Dogs are sometimes coprophagic, but it is uncertain whether the cysts would survive travelling through their digestive system. The safe disposal of human faeces is therefore a crucial factor in reducing the transmission of E. histolytica .
Figure 3.1 Life cycle of Entamoeba histolytica . The trophozoite stage (T) has a single spherical nucleus with a central karyosome; the presence of phagocytosed red blood cells is considered diagnostic of E. histolytica . There are four nuclei in the mature cyst (C) and two bar‐shaped chromatoidal bodies. Infection normally occurs through faecal‐oral transmission of the cyst stage although sexual transmission of the trophozoite stage can result in cutaneous infection of the genitalia. The main infection site is the colon although secondary infections can occur in the liver, lungs, and brain. Drawings not to scale.
After an infective cyst reaches our small intestine, the amoebae emerge and undergo a complicated series of divisions to produce eight trophozoites. Subsequently, peristalsis sweeps the amoebae down to the large intestine (colon) where they multiply in the lumen and may invade the gut wall. Avirulent strains of E. histolytica remain in the lumen of the colon and cause humans no harm. Those that are virulent attack and ingest the epithelial cells lining the gut wall and then proceed to spread through underlying layers. In the process of invasion, they cause the formation of flask‐shaped ulcers. In serious infections, ulceration and bleeding occur over large areas of the intestine ( Figure 3.2c). Consequently, the trophozoites of virulent strains often contain ingested red blood cells within their food vacuoles. This can be useful in laboratory diagnosis. A great deal of water is normally re‐absorbed in our colon. Consequently, reducing its functional surface causes a decline in water re‐absorption. In severe cases, the reduction in water reabsorption coupled with the loss of blood and fluids leads to emaciation and death from dehydration. The ulceration explains why patients suffering from amoebic dysentery frequently complain of gastric pain. Also, together with loss of fluids it means that patients pass stools that are loose and contain mucus and blood mixed with faecal material. These symptoms are distinct from bacterial dysentery in which there is no cellular exudate.
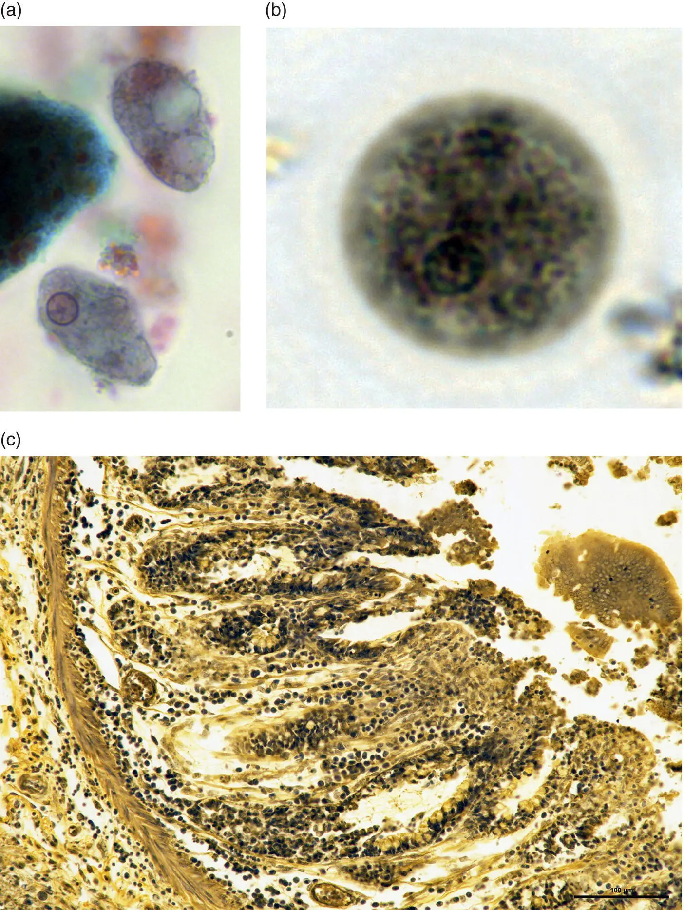
Figure 3.2 Entamoeba histolytica . (a) Trophozoite in a histological section through an intestinal ulcer. The cytoplasm is vacuolated in these specimens – this arises if there is a delay in fixing the sample. (b) Cyst. Cysts are spherical and one must focus through the cyst to see all four nuclei; immature cysts have 1‐3 nuclei. It can be difficult or impossible to distinguish the chromatoidal bodies in the cysts using light microscopy and their nuclear structure may be lost after prolonged storage. (c) Ulceration of the colon caused by Entamoeba histolytica . Note the huge numbers of trophozoites and the destruction of the villi. The parasites have penetrated the lower layers of the gut wall.
The ulcers in the intestine often suffer secondary invasion by bacteria – this extends and deepens the ulcers and leads to increased blood and fluid loss. When the ulcers start to heal, functional tissue is replaced by fibrous scar tissue. This reduces gut elasticity and, if extensive, may impair peristalsis in the colon and even cause a potentially fatal gut blockage.
If the amoebae damage the lining of the blood vessels, they gain entrance to the general circulation and are then swept up in the blood stream. Wherever the amoebae come to rest, they establish secondary ulcers that are potentially life threatening. The liver is the most commonly affected organ (hepatic amoebiasis) although the lungs, brain, and other organs may be invaded. Sometimes these secondary ulcers cause symptoms that are mistaken for those of other diseases, such as cancer. This can result in delays in providing the correct treatment and therefore serious long‐term damage. Hepatic amoebiasis is usually characterised by a single liver abscess that develops on the right lobe. Liver abscesses can become extensive and produce a copious purulent exudate (i.e., a thick fluid containing white blood cells, cell debris, and dead and dying cells) that resembles chocolate sauce. Depending on the site of the abscess, it can drain into the peritoneal cavity or the lungs – in which case it may be coughed up. Pulmonary amoebiasis often results from the extension of a pre‐existing hepatic infection and therefore most cases afflict the right lobes of the lungs. Cutaneous amoebiasis often afflicts the perianal region and results from an infection spreading from the bowel.
For further details of the biology and pathogenesis of E. histolytica , see Nozaki and Bhattacharya (2015).
3.2.2 Entamoeba dispar
Entamoeba dispar is morphologically indistinguishable from E. histolytica and has the same life cycle, but it is normally considered a harmless commensal. Nevertheless, there is some evidence suggesting it occasionally causes lesions in the intestines and liver (Oliveira et al. 2015). It is much more prevalent than E. histolytica, and therefore, it is essential to distinguish between the two species to avoid a false diagnosis of amoebic dysentery and thereby initiating inappropriate treatment. In mixed xenic cultures, E. dispar soon outgrows E. histolytica – which could cause problems where the amoebas are cultured to confirm an initial diagnosis by microscopy. Whether this reflects better fitness and/or whether E. dispar influences the establishment of E. histolytica is uncertain.
Читать дальшеИнтервал:
Закладка:
Похожие книги на «Parasitology»
Представляем Вашему вниманию похожие книги на «Parasitology» списком для выбора. Мы отобрали схожую по названию и смыслу литературу в надежде предоставить читателям больше вариантов отыскать новые, интересные, ещё непрочитанные произведения.
Обсуждение, отзывы о книге «Parasitology» и просто собственные мнения читателей. Оставьте ваши комментарии, напишите, что Вы думаете о произведении, его смысле или главных героях. Укажите что конкретно понравилось, а что нет, и почему Вы так считаете.
