Douglas A. Terry - Restoring the Intraradicular Space

Здесь есть возможность читать онлайн «Douglas A. Terry - Restoring the Intraradicular Space» — ознакомительный отрывок электронной книги совершенно бесплатно, а после прочтения отрывка купить полную версию. В некоторых случаях можно слушать аудио, скачать через торрент в формате fb2 и присутствует краткое содержание. Жанр: unrecognised, на английском языке. Описание произведения, (предисловие) а так же отзывы посетителей доступны на портале библиотеки ЛибКат.

Restoring the Intraradicular Space: краткое содержание, описание и аннотация

Предлагаем к чтению аннотацию, описание, краткое содержание или предисловие (зависит от того, что написал сам автор книги «Restoring the Intraradicular Space»). Если вы не нашли необходимую информацию о книге — напишите в комментариях, мы постараемся отыскать её.

Too often patients with fractured teeth are referred for extraction and implant placement with little consideration given to the conservative option of post and core treatment. But it has been demonstrated that endodontic and implant therapies have equivalent results when the treatments are appropriately chosen and performed at a high level of expertise. After all, advancements in endodontic technology and instrumentation have allowed the clinician to visualize, identify, and treat complexities they could not have fathomed a decade ago, and advancements in restorative material formulations have expanded the treatment possibilities for the patient, clinician, and technician. This changing technology has allowed the clinician to treat many clinical challenges through simpler, more conservative, and more economical methods. As such, this text provides a detailed and scientific description of the evolution of the post and core system and the significance of the adhesive design concept when restoring the intraradicular post space. The author presents the various applications and restorative techniques that he uses on a daily basis for restoring the post space, and the esthetics speak for themselves. Every aspect is covered, from general design criteria and the components of the post and core systems to post materials, adhesive bonding and luting agents, material selection, core buildup, and finally, the extracoronal restoration. The clinical protocols are illustrated meticulously and with stunning quality, and additional scientific content can be accessed via QR code. If you want minimally invasive treatment with maximal esthetics, this book is for you.

Restoring the Intraradicular Space — читать онлайн ознакомительный отрывок

Ниже представлен текст книги, разбитый по страницам. Система сохранения места последней прочитанной страницы, позволяет с удобством читать онлайн бесплатно книгу «Restoring the Intraradicular Space», без необходимости каждый раз заново искать на чём Вы остановились. Поставьте закладку, и сможете в любой момент перейти на страницу, на которой закончили чтение.

Тёмная тема
Сбросить

Интервал:

Закладка:

Сделать

Antirotation

Posts can be subjected to rotational forces from occlusion. Incorporating an antirotational device into the post and core system can increase the force that is required to displace the restoration.175 ,398 ,399 These rotational forces can be resisted by slotting the most coronal internal position of the post channel to make a keyway400 and/or by preparing rounded indentations adjacent to the post space. Root-filling materials should be removed from the orifices of other canals surrounding the post channel to provide additional retention for the core and resistance to rotational torque. 44The preparation design influences the stability of the crown by preventing crown rotation. The antirotational feature of the post and core complex requires the placement of a 2-mm circumferential ferrule preparation design on sound tooth structure. 70 ,189 ,383 ,393 ,401 ,402 Extracoronal restorative margins should be placed at least 1 to 2 mm onto sound tooth structure to improve fracture resistance of the underlying restorative complex. 44Clinical studies have demonstrated and confirmed the importance of this coronal tooth “collar” on the mechanical resistance of the endodontically restored tooth complex403 –406 (see section entitled “Ferrule effect”).

Modulus of elasticity similar to root dentin

The elastic modulus is defined as the relative stiffness of the restorative material within the elastic range.407 It also has been described as the ratio of uniaxial stress to strain in a structure or restorative material at small strain levels.408 The ideal restorative design for a post system requires the modulus of elasticity of the system to be similar to that of the dentin. 10As previously indicated, traditional metal posts have a high modulus of elasticity,185 ,358 whereas the fiber-reinforced post system has a modulus similar to that of dentin. The stress distribution in an endodontically restored tooth complex is dissimilar to that of a sound tooth. 19Natural hard tissue has a range of elastic moduli values, and the addition of restorative material with different moduli values can affect the total stiffness of the tooth-restorative complex and result in the generation of interfacial stresses. These interfacial stresses may result in thermal, mechanical, or shrinkage strain in the restorative material.407 ,408

The direct fiber-reinforced composite post system assembly has several advantages that can be afforded to the complex mechanism between polymerization shrinkage and adhesion. Because the elastic modulus of the adhesive and resin cement is low, the composite will accommodate the inherent modulus of the tooth. Therefore, the internal layer may absorb polymerization shrinkage stress of the composite by elastic elongation.409 ,410 Furthermore, studies indicate that occlusal forces are distributed more uniformly through the length of the root if the modulus of elasticity is similar to that of dentin. 109 ,411 ,412 These factors, which diminish and distribute the stresses to the remaining dentinal structures, reduce the likelihood of post separation or root fracture, therefore improving the clinical success rate of the restorative complex. 55

Flexural and tensile strengths similar to root structure

Both the design and the restorative material affect the resistance to fracture of ETT restored with post and core systems. 51 ,353 An outstanding characteristic of a post system is to have biomechanical properties similar to those of the host dental tissue.353 ,413 Metal posts are isotropic , meaning that they have a homogenous structure that has properties that are the same in all directions measured (conductivity, speed of transmission of forces, etc). In comparison, the fiber-reinforced composite is anisotropic , meaning that its properties vary according to the direction in which they are applied. 29 ,414 The mechanical properties of fiber-reinforced composites depend on the load direction and the structure of the materials. The fatigue behavior of anisotropic fiber-reinforced composites is also very different from the homogenous material. In a homogenous material under fatigue loading, a crack, once initiated, often propagates quickly, thus leading to sudden failure of the material. The microstructure of anisotropic materials influences the fatigue behavior and the damage processes in composite materials. These processes are complex and consist of matrix cracking, delamination, interface debonding, fiber bending or breakage, or a combination of these events.139

Reinforcement fibers enhance the mechanical properties of the tooth-restorative complex by increasing flexural and tensile strengths194 and can influence strength, stability, and durability. These fibers can minimize crack propagation by reducing the coalescence of microcracks within the resin matrix into cracks that could lead to failure of the restorative complex and thus dissipate the force and blunt the crack growth. This composite reinforcement fiber network provides an efficient transfer of stress within the internal framework by absorbing the applied stresses to the restorative complex and redirecting those forces along the long axis of the remaining root structure, thereby minimizing the risk of root fracture. 55 ,168 ,415

Uninterrupted bonding at all interfaces

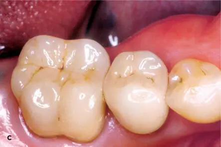
As mentioned in the previous discussion on internal adaptation, conventional luting cements such as zinc phosphate only fill the void between the post and dentin restorative interfaces without attaching to either surface. 55An adhesively placed fiber-reinforced composite post system provides an uninterrupted bonding at all interfaces, resulting in increased resistance to fatigue and fracture, enhanced retention, and a reduction in microleakage and bacterial infiltration. This adhesive integration between the five components of the direct fiber-reinforced composite resin system (the root dentin surface, luting cement, intraradicular post, core buildup, and the extracoronal restoration) provides structural integrity for intraradicular rehabilitation168 ,281 ( Fig 1-13). This combined adhesive assembly forms a mechanically homogenous functional unit (monoblock) with improved biomechanical performance416 ,417 that reduces stress at the interface and improves the force distribution while minimizing the potential for fracture. 36 , 56 ,114 ,148 ,400 In vitro studies have demonstrated that the presence of resin-based cement and a fiber post provide a monoblock system that can significantly improve the fracture resistance of structurally weakened roots. 41 ,418 ,419

Restoring the Intraradicular Space - фото 40 Restoring the Intraradicular Space - фото 41 Restoring the Intraradicular Space - фото 42 Fig 113 a to f Adhesive integration between the comp - фото 43 Fig 113 a to f Adhesive integration between the components of the - фото 44 Fig 113 a to f Adhesive integration between the components of the - фото 45

Fig 1-13 (a to f) Adhesive integration between the components of the post-retained system provides structural integrity for intraradicular rehabilitation.

Currently, an increased demand for clinically convenient post and core systems 109to replace lost tooth structure has provided the clinician with a plethora of simplified “one-visit” post and core restorative options.420 However, in view of the previous design considerations, it is understandable that clinicians have uncertainties about selection of restorative materials and techniques to achieve optimal results for post and core buildup procedures.407 Although the quest for the ideal material to restore lost tooth structure continues to be a focus of modern dental research,421 there are many post and core techniques available to the clinician for a variety of clinical procedures, and each clinical situation should be evaluated individually. 82Clinical and laboratory studies have demonstrated that fiber-reinforced resin posts provide an excellent alternative option for restoring ETT in preference to metal posts. 42 ,185 ,422 According to studies by Clinical Research Associates, the fiber-reinforced post systems are superior to metal prefabricated posts.423 In the last few years, there has been a major shift away from metal custom-cast posts and cores toward prefabricated metal posts and resin-based composite cores, and recently there is clearly an observable movement toward the use of fiber-reinforced resin-based composite posts used with bonded composite buildups. 22 , 79 ,185 ,402 ,424 ,425 Prefabricated composite post systems are replacing metal post systems because an adhesive procedure with the fiber-reinforced composite post system adds strength to the tooth-restorative interface after bonding.206 Therefore, the fiber-reinforced post has an advantage after assembly.

Читать дальше
Тёмная тема
Сбросить

Интервал:

Закладка:

Сделать

Похожие книги на «Restoring the Intraradicular Space»

Представляем Вашему вниманию похожие книги на «Restoring the Intraradicular Space» списком для выбора. Мы отобрали схожую по названию и смыслу литературу в надежде предоставить читателям больше вариантов отыскать новые, интересные, ещё непрочитанные произведения.


Отзывы о книге «Restoring the Intraradicular Space»

Обсуждение, отзывы о книге «Restoring the Intraradicular Space» и просто собственные мнения читателей. Оставьте ваши комментарии, напишите, что Вы думаете о произведении, его смысле или главных героях. Укажите что конкретно понравилось, а что нет, и почему Вы так считаете.

x