Pathology of Genetically Engineered and Other Mutant Mice
Здесь есть возможность читать онлайн «Pathology of Genetically Engineered and Other Mutant Mice» — ознакомительный отрывок электронной книги совершенно бесплатно, а после прочтения отрывка купить полную версию. В некоторых случаях можно слушать аудио, скачать через торрент в формате fb2 и присутствует краткое содержание. Жанр: unrecognised, на английском языке. Описание произведения, (предисловие) а так же отзывы посетителей доступны на портале библиотеки ЛибКат.
- Название:Pathology of Genetically Engineered and Other Mutant Mice
- Автор:
- Жанр:
- Год:неизвестен
- ISBN:нет данных
- Рейтинг книги:3 / 5. Голосов: 1
-
Избранное:Добавить в избранное
- Отзывы:
-
Ваша оценка:
- 60
- 1
- 2
- 3
- 4
- 5
Pathology of Genetically Engineered and Other Mutant Mice: краткое содержание, описание и аннотация
Предлагаем к чтению аннотацию, описание, краткое содержание или предисловие (зависит от того, что написал сам автор книги «Pathology of Genetically Engineered and Other Mutant Mice»). Если вы не нашли необходимую информацию о книге — напишите в комментариях, мы постараемся отыскать её.
An updated and comprehensive reference to pathology in every organ system in genetically modified mice Pathology of Genetically Engineered and Other Mutant Mice
Pathology of Genetically Engineered and Other Mutant Mice
Pathology of Genetically Engineered and Other Mutant Mice — читать онлайн ознакомительный отрывок
Ниже представлен текст книги, разбитый по страницам. Система сохранения места последней прочитанной страницы, позволяет с удобством читать онлайн бесплатно книгу «Pathology of Genetically Engineered and Other Mutant Mice», без необходимости каждый раз заново искать на чём Вы остановились. Поставьте закладку, и сможете в любой момент перейти на страницу, на которой закончили чтение.
Интервал:
Закладка:
Rhinosinusitis and Otitis Media
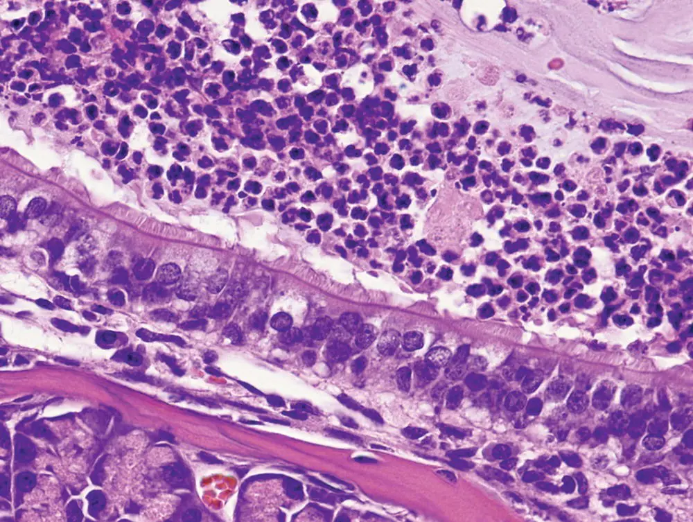
Suppurative rhinosinusitis is the most characteristic and consistent finding in mice with dysfunctional motile cilia or PCD. Ciliary dysfunction reduces the ability of the mucociliary clearance mechanism to remove secretions and infectious agents from mucosal surfaces, which results in the accumulation of exudates and promotes secondary bacterial infections and suppurative inflammation ( Figure 6.1). When mucociliary clearance is impaired in humans [20], chronic otitis media, rhinitis, sinusitis, and recurrent infections of the lower respiratory tract can result in irreversible bronchiectasis [24, 25].
In mice, PCD lesions are characterized by accumulations of mucus and mucopurulent exudates in the nasal passageways and sinuses, which are frequently accompanied by chronic‐active inflammation in the nasal submucosa. The high prevalence of suppurative otitis media in affected mice is most likely the result of impaired mucociliary function within the Eustachian tubes. In contrast to PCD in humans, respiratory tract lesions in mice are limited to the nasal passageways and sinuses, and they appear to be completely resistant to the severe pulmonary lesions that typically develop in humans with PCD [21, 26, 27].
Figure 6.1 Nasal epithelium. Motile cilia are present on respiratory epithelium but are dysfunctional, resulting in suppurative rhinosinusitis.
Hydrocephalus
Young mice that develop hydrocephalus before their cranial sutures close typically present with an enlarged, domed head ( Figure 6.2), but the majority of cases have milder disease that may not be evident until the head is sectioned. Hydrocephalus may be caused by a blockage of the normal flow of cerebrospinal fluid (CSF), a failure of absorption of CSF, or least commonly, an overproduction of CSF. Although there are many different potential causes of hydrocephalus, a motile ciliopathy is most likely involved when the brain lesion is accompanied by rhinosinusitis, defective spermatozoa, or laterality defects. Abnormal or deficient motility of ependymal cilia during brain morphogenesis clearly contributes to the development of hydrocephalus in many mice [28]. The synchronous beat of ependymal cilia that line the ventricles and interventricular connections generates a directional flow of CSF which has been termed “ependymal flow” [29], which may be required to maintain the patency of the aqueduct. The absence of ependymal flow during early postnatal brain development has been linked to secondary aqueduct stenosis [29].
However, congenital hydrocephalus in mice is a complex polygenic trait, and its development is strongly influenced by the presence of strain‐specific genetic modifiers. For example, hydrocephalus is a relatively common finding in C57BL/6 mice, and it has been observed that Del(1)Brk (formerly nm1054 ) [30] and Fyn ‐deficient mice on C57BL/6 backgrounds develop severe hydrocephalus, while mutants on 129 or mixed background showed either mild or no hydrocephalus [30, 31]. Similarly, hydrocephalus develops in L1‐deficient mice only after backcrossing to the C57BL/6 strain, with the mutation eventually becoming embryonic lethal after several backcrosses [32]. Taken together, these findings suggest that C57BL/6 already carry mutant alleles that predispose them to having dysfunctional motile cilia and thus to developing hydrocephalus and other motile ciliopathies. Although most cases of hydrocephalus can be linked to dysfunctional motile cilia, it is clear that primary cilia are involved in cellular signal pathways expressed during early brain development that can result in hydrocephalus when disrupted. The previously described L1‐deficient mutant mice develop severe hydrocephalus that does not involve either aqueduct stenosis or ultrastructural abnormalities of ependymal cells or cilia lining the lateral ventricles or the aqueduct [33].
Figure 6.2 Brain hydrocephalus. Ependymal ciliary dysfunction often results in severe dilatation of the ventricles in the brain.
Laterality Defects
Laterality defects can only be identified on gross exam, and prosectors need to be alert because these phenotypes are surprisingly easy to overlook during necropsies, especially since fewer than 50% of the homozygous mice will display any situs phenotype in most affected lines. One critical role for cilia is the specification of the left–right (LR) body axis during development. Motile cilia alongside the embryonic node, a cup‐shaped structure on the ventral surface of the developing embryo, generate a flow that is detected by sensory cilia within the node [34], with both types of cilia required for normal left–right axis patterning [27]. Defects in motile cilia are likely when the laterality defects are accompanied by rhinosinusitis, male infertility, or hydrocephalus, whereas the absence of these lesions is suggestive of a sensory ciliopathy [27]. The term situs solitus is used to describe the normal left–right (LR) asymmetry in the positioning of internal organs [35, 36], while a mirror image reversal of organ positioning is called situs inversus [37, 38]. The terms situs ambiguus or heterotaxy are used to describe other variations in organ placement due to abnormal left–right patterning during embryonic development.
Infertility
In male mice, infertility is often a consequence of defective biogenesis or function of the motile spermatozoal flagellum [39]. Many flagellar defects are visible by light microscopy [40] and may be accompanied by other lesions commonly associated with dysfunctional motile cilia [41] ( Figure 6.3). In contrast, fertility is generally not impaired in female mice with motile cilia deficiencies, despite the presence of ciliated epithelium of the oviduct. These findings are consistent with those in humans with PCD, where reduced fertility in men with PCD is attributed to dysmotility of spermatozoa and/or reduced sperm count, while lack of ciliary motility in the Fallopian tubes of women does not appear to have a major effect on fertility [42]. Although cilia‐related infertility is usually associated with dysfunctional motile cilia, defective immotile sensory cilia are also involved in some cases [43].
Figure 6.3 Epididymis. Flagellar defects or dysfunction are common causes of male infertility.
Sensory Ciliopathies
The immotile/primary cilia are present on almost all types of cells, and their primary function is to transduce signals from the environment or surrounding cells. For many decades after their discovery, it was thought that the immotile primary cilia were purely vestigial organelles. However, it is now clear that defects in immotile primary cilia, which have a variety of different sensory functions [44], can cause myriad inherited diseases that simultaneously involve several different organ systems and thus display pleiotropic phenotypes. These diseases range from severe developmental defects resulting in embryonic or perinatal lethality to diseases such as polycystic kidney disease (PKD), retinal degeneration, hepatic and pancreatic cysts, skeletal anomalies, brain malformations such as microcephaly and cerebellar dysplasia, and left–right axis defects. Ciliopathies are also associated with other types of lesions affecting the eye, central nervous system (CNS), liver, and pancreas.
Читать дальшеИнтервал:
Закладка:
Похожие книги на «Pathology of Genetically Engineered and Other Mutant Mice»
Представляем Вашему вниманию похожие книги на «Pathology of Genetically Engineered and Other Mutant Mice» списком для выбора. Мы отобрали схожую по названию и смыслу литературу в надежде предоставить читателям больше вариантов отыскать новые, интересные, ещё непрочитанные произведения.
Обсуждение, отзывы о книге «Pathology of Genetically Engineered and Other Mutant Mice» и просто собственные мнения читателей. Оставьте ваши комментарии, напишите, что Вы думаете о произведении, его смысле или главных героях. Укажите что конкретно понравилось, а что нет, и почему Вы так считаете.
